TOP
クリニック紹介
プランと価格
人間ドックをご受診される方へ
各種検査について
お問い合わせ
FAQ
More
早期胃がんの発見のために
肝胆膵腎疾患のスクリーニング
腹部超音波検査
全身疾患の早期発見のために
眼底カメラ検査
老齢期の骨折の予防のために
骨密度検査
脳卒中予防のために
頚動脈エコー検査
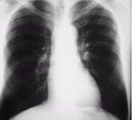
肺疾患の早期発見のために
呼吸機能検査
緑内障発見のために
眼圧検査
潜在性腫瘍の発見のために
腫瘍マーカー検査
全身の癌の早期発見のために
PETスキャン検査
体質的ながんのなり易さを調べるために
がん遺伝子検査